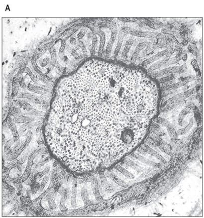
The arrangement of the axon
abc
abc
abc
abc

abc
abc
abc
abc